Attachment
Mini-tube Product Details & Specifications
Mini-tube
The Mini Metal Tube (Mini-tube) is a precision orthodontic attachment engineered for accurate tooth movement in limited spaces. Designed with .018 and .022 slot options, it provides secure archwire retention or serves as a temporary appliance when space is restricted. Made from durable stainless steel, this compact design ensures stability, reliability, and optimal treatment efficiency.
- Detailed description
Mini Metal Tube
TET Mini-Tube delivers a discreet yet powerful solution for molar anchorage in fixed appliance therapy. Crafted from transparent polycrystalline ceramic and sapphire-inspired materials, this bondable buccal tube system integrates seamlessly with the TET Sapphire Bracket series, maintaining visual harmony across the entire arch. Designed for patients who value both function and appearance, the Mini-Tube offers precise torque control, secure archwire engagement, and superior comfort—empowering clinicians to achieve predictable, efficient, and aesthetically refined results.
Feature
Available in .018 and .022 slot sizes
Ensures precise control of tooth movement in narrow spaces.
Offers versatile application as an auxiliary or temporary device during orthodontic treatment.
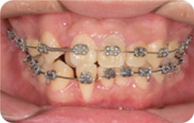
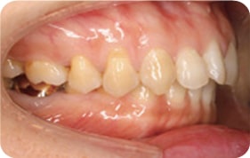
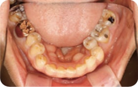
Case 1

2017. 07. 28

2017. 12. 05

2018. 03. 20

2018. 04. 28
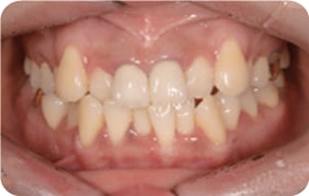
Case 2

2017. 08. 07

2017. 08. 07

2018. 04. 16

2018. 04. 16
Case 3

2017. 10. 11

2017. 12. 26

2018. 02. 26
Case 4

2017. 08. 04

2017. 12. 15

2018. 02. 10
Key Features & Advantages
Transparent Polycrystalline Ceramic Body
Features
- Low-profile mini buccal tubes available in clear or tooth-colored options
- Configurations include gingival hooks and auxiliary slots in Roth or MBT prescriptions (.018” / .022”)
- Fully metal-free ceramic construction for superior aesthetics
Advantages
- Delivers natural translucency that blends seamlessly with enamel
- Resists discoloration from coffee, tea, and tobacco
- Enhances chairside visibility for clinicians during adjustment
Compact Design with Integrated Hook and Crimpable Accessories
Features
- Ultra-mini profile (mesial–distal length under 3 mm) with smooth, rounded edges and chamfered wire entries
- Integrated hook and customizable crimpable stops available in clear or metallic finishes
-
Optimized design to minimize irritation and improve handling
Advantages
- Increases patient comfort by reducing buccal irritation and speech interference
- Provides precise archwire control and prevents slippage
- Shortens treatment time by up to 20% in complex molar cases
Advanced Mesh Base Retention
Features
- Micro-etched or silica-coated bonding base engineered for direct application
- Compatible with modern light-cure composites and self-etch primer systems
-
Designed for strong, reliable adhesion comparable to metal tubes
Advantages
- Ensures secure, long-lasting bonding strength with minimal enamel impact
- Allows clean and efficient debonding during finishing stages
- Streamlines both bonding and finishing steps in clinical workflows